
Le déchaussement dentaire est une affection courante qui touche un grand nombre de personnes, souvent silencieuse au début, mais pouvant engendrer des douleurs et une perte des dents si elle n’est pas prise en charge rapidement. Comprendre les signes d’alerte et savoir quand consulter un professionnel est essentiel pour préserver la santé bucco-dentaire. Cet article complète l’information nécessaire pour reconnaître les symptômes liés au déchaussement et adopter les bonnes démarches avant qu’il ne soit trop tard.
Comprendre la dent qui se déchausse : causes et symptômes
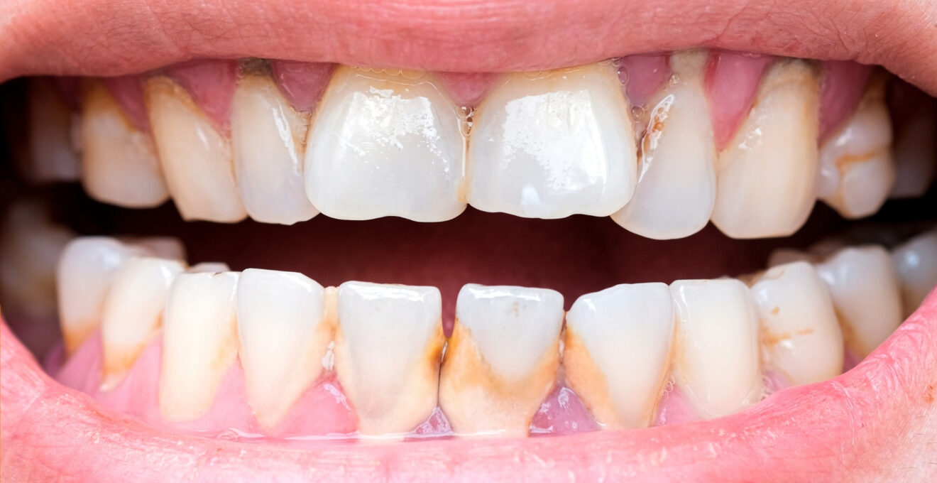
Une dent qui se déchausse signale un déplacement progressif de la gencive vers la racine, exposant cette dernière. Ce phénomène peut entraîner une instabilité dentaire, accompagnée parfois d’une gêne ou de douleur. Plusieurs causes peuvent expliquer ce déchaussement, notamment une maladie parodontale, une mauvaise hygiène buccale, ou encore des traumatismes répétés.
Les symptômes précurseurs incluent la sensation de dent mobile, une récession gingivale visible, ainsi que parfois des douleurs au contact ou au brossage. Une consultation sur ce site permet d’obtenir plus de détails sur les différentes manifestations cliniques et options de traitement.
Le déchaussement dentaire peut aussi s’accompagner d’inflammation, avec des gencives rouges et sensibles, et d’une mauvaise haleine persistante. Ces signes doivent alerter et inviter à consulter rapidement. Plus le déchaussement progresse sans prise en charge, plus les risques de complications, telles que la perte définitive des dents, s’accroissent.
Les causes fréquentes du recul des gencives et déchaussement
Le recul gingival, fréquemment associé au déchaussement, résulte souvent d’une combinaison de facteurs. Parmi les plus courants, la plaque dentaire et le tartre accumulés provoquent une inflammation appelée gingivite, qui non traitée, évolue vers la parodontite, responsable du déchaussement. Le tabac, certains médicaments, et une mauvaise alimentation jouent également un rôle aggravant.
D’autres causes peuvent intervenir telles que :
- Un brossage trop agressif, qui fragilise la gencive.
- Un déséquilibre de la flore buccale.
- Des problèmes orthodontiques ou des malocclusions génèrent des contraintes excessives sur certaines dents.
- Le vieillissement naturel, qui entraîne une diminution du volume osseux et une rétractation des tissus environnants.
Réagir rapidement face à ces facteurs est essentiel pour limiter l’aggravation du déchaussement et préserver la dentition.
Douleur liée au déchaussement : causes et conséquences
La douleur qui accompagne parfois le déchaussement dentaire peut avoir plusieurs origines. Elle résulte souvent de l’exposition de la racine dentinaire, qui est plus sensible aux stimuli thermiques, chimiques ou mécaniques. Cette hypersensibilité crée des douleurs lancinantes ou aiguës, en particulier lors de la consommation de boissons froides, chaudes, ou d’aliments acides.
En cas de déchaussement important, l’inflammation peut se propager aux tissus environnants, provoquant des douleurs plus intenses et une gêne lors de la mastication. Par ailleurs, la mobilité de la dent due à la perte d’ancrage peut engendrer une sensation désagréable et un risque accru de traumatisme.
Si la douleur devient persistante ou s’intensifie, elle doit être considérée comme un signal d’alerte majeur, témoignant d’une atteinte avancée et d’un besoin de soin avant que la situation ne se détériore davantage.
Quand consulter un dentiste face à une dent qui bouge ou une gêne gingivale ?
Détecter une dent qui bouge ou un déchaussement naissant ne signifie pas nécessairement un stade avancé, mais impose une vigilance accrue. Une consultation rapide auprès d’un professionnel de santé dentaire est recommandée dès les premiers signes douloureux, la sensation de mobilité ou la présence de gencives rétractées. Le praticien pourra réaliser un examen complet, incluant un bilan parodontal, afin d’évaluer l’étendue des lésions et mettre en place un traitement adapté.
Les interventions possibles varient selon la gravité, allant du détartrage approfondi et traitement localisé aux soins chirurgicaux pour stabiliser les dents. La prévention, notamment par des contrôles réguliers et une hygiène buccale rigoureuse, reste un levier essentiel pour limiter les risques secondaires.
En résumé, il est conseillé de prendre rendez-vous sans tarder si :
- Une dent a la sensation de bouger.
- Des douleurs apparaissent au niveau des gencives.
- Un saignement gingival fréquent est observé.
- Une modification visible de la position des dents est perceptible.
Une prise en charge précoce augmente considérablement les chances de conserver le capital dentaire sur le long terme.